Reflections of Research
Newcastle scientists recognised in national image competition
Published on: 24 October 2023
Two Newcastle University scientists have been shortlisted for the British Heart Foundation’s (BHF) annual ‘Reflections of Research’ image competition.
The competition challenges British Heart Foundation-funded scientists to put forward the most awe-inspiring image taken as part of their research into cardiovascular health and disease. Each picture offers an insight into their crucial work.
Embryonic human heart
The ‘embryonic human heart’ was submitted by Moira Crosier, a researcher involved in a BHF-funded study at Newcastle University.
The bright splashes of colour show a side view of a human heart and lung that have been developing for 56 days. At this stage the heart is only two millimetres in size. Using specific tags and a fluorescent microscope we can see, in great detail, the boundaries of the heart muscle (green) and the heart valves (red).
With an understanding of how a fully functional heart forms over time, Moira can investigate the detailed anatomy of areas of the heart where many operations are currently carried out to treat people with congenital heart diseases (CHDs).
Moira said: “I am thrilled to be shortlisted for the BHF’s image competition and to be able to share this stunning side of cardiovascular research with the public.
“Our research is focused on uncovering the mysteries of how an organ as complex as the heart is formed. If we know how a healthy heart develops, we know what can go wrong to cause devastating heart diseases in both children and adults.”

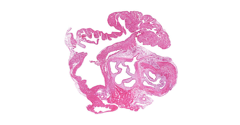
Development and remodelling of the human fetal valves
‘Development and remodelling of the human fetal valves’ was submitted by Jasmin Turner, a Research Associate with the HDBR and a PhD student in Cardiac Development at Newcastle University.
The colours and folded patterns in this image show the human heart at 12 weeks development. Jasmin has taken this image as part of her research to better understand how congenital heart diseases (CHDs) develop.
Today, CHD affects at least one in every 150 live births. The knowledge gained by observing hearts develop can be combined with the vast amount we already know about CHD development in mice.
The researchers think that a better understanding of how CHDs develop can lead to targeted treatments for the conditions.
Jasmin said:“I am very honoured and proud to be shortlisted for Reflections of Research 2023. I hope this picture gives people an insight into how our team is committed to preventing serious heart disease in babies and late–diagnosed adults.
“Pictures like this one are helping us understand more and more about how the human heart develops. We hope this growing source of information can be used to prevent CHDs in the future.”
