May
Brain haemorrhage patients offered better treatment

Surgeons now have a formula to predict when brain haemorrhage patients need surgery, thanks to an international trial led by Newcastle University.
Brain haemorrhage affects some 4 million patients a year worldwide and the trial will help to ensure the best treatment is given at the right time.
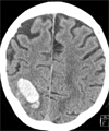
David Mendelow, Professor of Neurosurgery at Newcastle University and honorary consultant within the Newcastle Hospitals NHS Foundation Trust, who ran the trials, has devised a formula published today online in The Lancet which will allow surgeons to calculate when to intervene with surgery after an Intracerebral Haemorrhage. This occurs when the blood escapes from the blood vessels into the brain itself to produce a solid clot.
Professor Mendelow said: “This study gives hope to patients at the time of their initial haemorrhagic stroke. Not only will some lives be saved, but we have shown that operating at the right time means that about one in five patients are able to regain their independence.”
The results of the trial, known as STICH II (Surgical Trial in Lobar Intracerebral Haemorrhage) are published in the Lancet online and presented today at the European Stroke Conference in London. The randomised trial, co-ordinated and completed at the Newcastle University Neurosurgery Trials Unit involved 601 patients from 78 centres in 27 countries around the world.
Prior to this trial, surgeons did not have the detailed information telling them which patients benefited the most from surgery. Now this research provides surgeons with a formula which can be applied to fine tune decision-making for all these patients. It uses the established Glasgow Coma Score (GCS) – a neurological scale that aims to give a reliable, objective way of assessing and recording the conscious state of a person – the age of the patient and the volume of the clot. It provides surgeons with a prognosis-based outcome;
10 x GCS – Age (years) - 0.64 x Volume (ml)
The cut-point was established as 27.672 - meaning that any patient scoring less than this figure should be operated on to offer them the best prognosis.
Professor Mendelow added: “Our work provides a definitive guide as to when surgery is needed and when it can avoided to ensure the best treatment for patients.”
Reference: Early surgery versus initial conservative treatment in patients with spontaneous supratentorial lobar intracerebral haematomas (STICH II): a randomised trial. Professor A David Mendelow, Dr Barbara A Gregson, Dr Elise N Rowan, Professor Gordon D Murray, Dr Anil Gholkar, Mr Patrick M Mitchell, STICH II Investigators. Lancet on-line 29th May 2013.
Image shows a scan of intracerebral hemorrhage.
published on: 30 May 2013